CONFIRA OS CONTÉUDOS EM TEXTO E ÁUDIO DA 38ª EDIÇÃO
Desenvolvimento Infantil: construindo caminhos com as profissionais do SABERES
Bem-vindos ao mundo do Saberes, o espaço de atendimento multidisciplinar integrado onde as profissionais unem seus SABERES para construir caminhos.
Síndrome Osgood Schlatter: os cuidados da fisioterapia na saúde infantil
É preciso atenção quando falamos da prática esportiva que engloba treinamentos e competições recorrentes.
Ideal para você
Já parou para pensar qual seria o seu estofado ideal? Quem sabe seja aquele que traz praticidade para o seu dia a dia.
Identificar precocemente a toxoplasmose é essencial na gravidez
Rápida detecção previne a transmissão congênita e proporciona um tratamento correto.
Valorização da autoestima com bioestimuladores de colágeno
Com os bioestimuladores é possível estimular nossos fibroblastos a produzirem novas fibras de colágeno e elastina através de diversas formas.
Rh estratégico: como reter talentos no contexto atual?
A gestão de Recursos Humanos (RH) nas organizações, no contexto atual, destaca-se como papel fundamental desse setor.
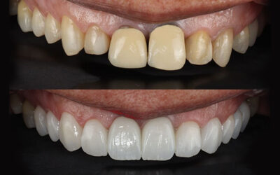
Facetas de resina composta: uma opção para reabilitar o sorriso
Através da reabilitação oral podemos solucionar essas modificações, recuperando ou melhorando a saúde bucal.
Ousadia e criatividade nos ambientes: a gama de revestimentos para embelezar de forma funcional
O que você acha de optar por revestimentos? Sim, eles estão em alta e, além de ajudarem a proteger e impermeabilizar as superfícies.
Campeões dentro e fora dos tatames
Preparação e treino levaram a Equipe Dojo Samurai Cruz Alta a conquistarem o Campeonato Brasileiro de Karatê.
Para ouvir e refletir
Por isso, reunimos 4 podcasts sobre autoconhecimento, saúde mental, equilíbrio emocional, autocuidado, carreiras e tantos outros temas.
Proibido para pets: cuidado com substâncias e alimentos tóxicos
Em meio às nossas rotinas agitadas, muitas vezes compartilhamos nossos alimentos com nossos companheiros caninos sem perceber os perigos.
Facelift, o rejuvenescimento energético do Acces Consciouness
Permite revitalizar as células e reverter a aparência de envelhecimento, além de suavizar marcas de expressão, aumenta o tônus muscular.
Rinite e os perigos de uma abordagem reativa
Para muitos, a rinite é vista como uma condição menor, porém essa abordagem reativa pode trazer perigos significativos à saúde e ao bem-estar.
Outubro Rosa: prevenção é o melhor tratamento
Liga Feminina de Combate ao Câncer, entidade filantrópica que atende mulheres, homens e crianças trabalha voluntariamente, há 67 anos.
Verão dentro da dieta
3 drinks tradicionais com poucas calorias para aproveitar sem neuras.
Construindo uma vida mais saudável e equilibrada
Conversamos com a nutricionista Daniele Kerner de Paula para entendermos como uma alimentação adequada, aliada a um plano de treino bem estruturado, pode ser a chave para atingir seus objetivos de saúde e forma física.
ÚLTIMOS POSTS
Vocação movida pelo amor aos animais
Ouça este conteúdo A história e a dedicação de Ritiele Lorenci, que fizeram da VetCenter uma clínica reconhecida pela excelência no cuidado Existem...
Lavanda Casa: Conforto e qualidade de vida
Ouça este conteúdo Bem-estar em casa é essencial! Por isso, a Lavanda Casa reúne uma curadoria de peças que realmente fazem diferença no dia a dia...
Os 4 novos caminhos da arquitetura para morar melhor em 2026
Ouça este conteúdo https://revistavitale.com.br/wp-content/uploads/2025/12/arquitetura-2026-1.mp3 Há algum tempo, morar bem deixou de ser apenas...







































