Ouça este conteúdo
Entenda o procedimento, benefícios e cuidados da Clínica Manfredini para transformar seu sorriso, sem medo de ser feliz!
Imagine esconder o sorriso em uma foto de família ou em uma reunião de trabalho por causa de dentes amarelados, tortos ou desgastados. Essa insegurança afeta milhões, roubando a alegria de momentos simples.
Muitos adiaram seu tratamento, assustados por histórias na internet, como: lentes de contato dentais que causam mau cheiro na boca, desgaste excessivo nos dentes, sensibilidade dolorosa, lascamento fácil ou aparência falsa e volumosa.
Natural, duradouro e acima de tudo, seguro
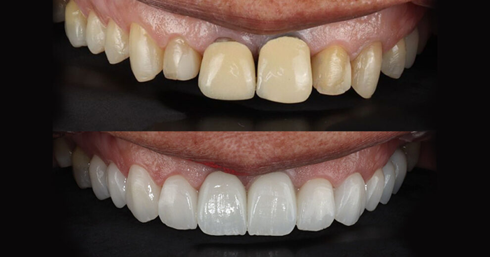
Os medos, baseados em casos antigos ou mal executados, não precisam mais te parar, porque sua confiança começa com um sorriso que você não precisa esconder. Na Clínica Manfredini, as lentes de contato dentais são uma inovação acessível e natural. As finas camadas de cerâmica ou porcelana corrigem cor, forma e alinhamento com adesivos de alta tecnologia.
Na Clínica Manfredini, Clodoaldo e Greici cuidam de cada etapa com precisão, garantindo um resultado impecável e, o melhor: um sorriso que é verdadeiramente seu.
“Ao contrário das facetas tradicionais, nossas lentes exigem um desgaste mínimo, mantendo a estrutura natural dos seus dentes. Sensibilidade? Quase inexistente, graças a técnicas e materiais de última geração. Medo de lascar? Os materiais que usamos têm resistência semelhante à dos dentes naturais – você pode morder, mastigar e sorrir sem preocupação. E a aparência? Tão natural que nem você vai perceber a diferença! Cada detalhe, desde a cor até a textura, é personalizado para um sorriso harmonioso. Quanto ao mau cheiro, só acontece em procedimentos mal executados – e aqui, isso não é uma opção”, comenta Clodoaldo.
Planejamento moderno e personalizado
O segredo para os efeitos incríveis está no planejamento integrado, que une escaneamentos digitais, implantes e técnicas modernas para resultados personalizados, respeitando limitações como saúde gengival ou orçamento.
“Cada caso é único, e usamos o melhor da odontologia para superar medos”, diz ele.
E o melhor? Tudo isso com máximo conforto: anestesia suave, procedimento tranquilo e recuperação rápida. Nada daqueles tratamentos demorados e dolorosos que assustam por aí.
Na Clínica Manfredini, o lema é: “A cada sorriso seu, sentimos como se fosse nosso.” Com 25 anos de experiência em implantodontia e prótese, o Dr. Manfredini já ajudou milhares a reconquistarem a autoestima.
Pronto para brilhar? Consulte-nos e descubra um sorriso radiante e sem receios:
Clínica Manfredini


























Adicione Comentário